Decoding the Superficial Siderosis MRI
There has been a definite increase in people diagnosed with superficial siderosis. The improvements in neuroimaging have resulted in advanced iron-sensitive 2-D and 3-D MRI techniques. Thankfully you can now be diagnosed in vivo and, if you’re fortunate, early enough to do something. Researchers have now identified three branches of superficial siderosis, each with a unique clinical presentation and pathology.
Tracking Your Hemosiderin
Infratentorial Superficial Siderosis (iSS) Type1 Classical is the superficial siderosis that affects our group. Clinically it presents with hearing lossOverview In approximately 95% of superficial siderosis patie... More, ataxiaOverview Ataxia is considered a symptom of your superficial ... More, myelopathyOverview Myelopathy is one of the three major symptom catego... More, and slow-progressing neurodegeneration.
Infratentorial Superficial Siderosis (iSS) Type 2 Secondary will show classic hemosiderin staining on the MRI but will not present any clinical symptoms or degeneration.
The newcomer is Cortical Superficial Siderosis (cSS). Hemosiderin deposition is limited to cortical sulci of the cerebral hemispheres: the cerebellum, brain stem, and spine escape deposits. Cortical Superficial Siderosis (cSS) has different clinical symptoms and causes. It seems to be age-related with a connection to cerebral small vessel disorders.¹
Annual MRI
Gary is in his fourth year now of chelation therapy. His first dose of Ferripriox was in July 2014, and his original hematologist always made sure he ordered annual MRI scans of his head and spine. The imagining center gave us multiple copies on a CD every year. We kept one for our records and passed out the rest to physicians along the way.
No one ever explained what in the world we were looking at, looking for, or was there any positive progress. You may have experienced the same confusion.
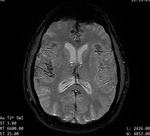
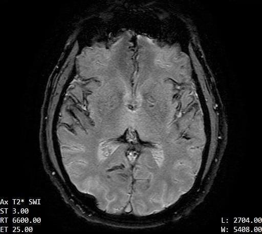
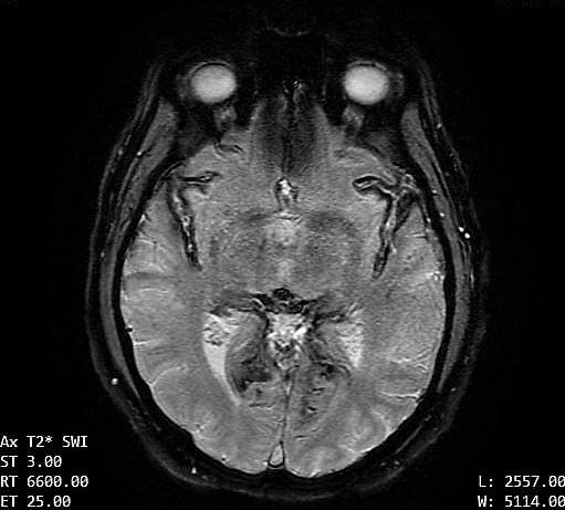
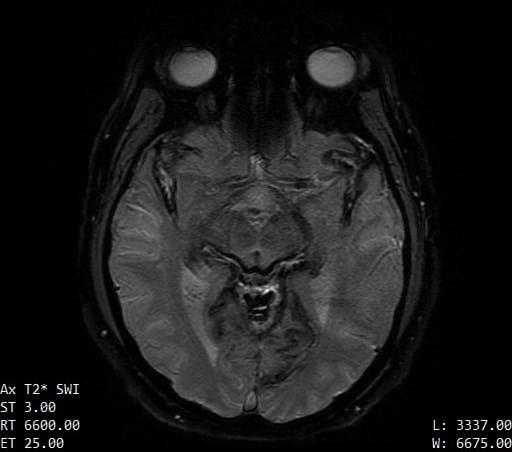
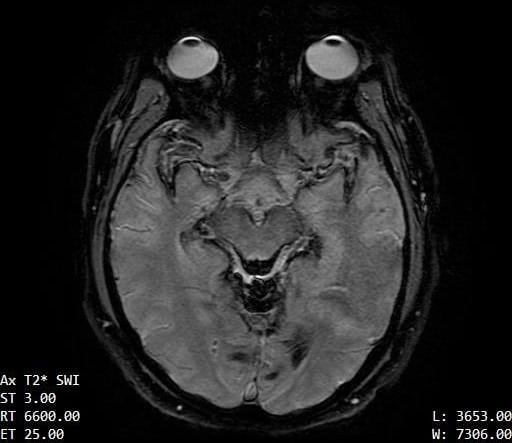
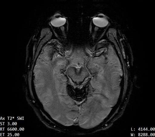
Gary started with a new group of doctors in 2017, and their first MRI included 436 images of his head and 85 of his spine. Unfortunately, 14 months have passed, so we asked if they would order an updated imaging set to see if there has been any reduction in the iron.
Hoping we might learn something this time, Gary asked Dr. Levy to recommend the best MRI setting. It turns out the series from 2017 had a set with the preferred settings.
The contours of the cerebrum, cerebellum, and brainstem are outlined with a T2 hypointense signal with blooming on susceptibility weighted sequences, which is compatible with the clinical history of superficial siderosis. A majority of the T2 hypointense signal is present in the superior folia of the cerebellum but also seen coating the surfaces of the brainstem, the cortical surfaces along the Sylvian fissures, and the cortical surfaces of the paramedian sulci of the frontal and occipital lobes. Few subcortical and periventricular T2/FLAIR hyperintensities are present in both cerebral hemispheres.²
If you look at each image, you can see the dark areas where his hemosiderin deposits are. The radiologist will use the same machine and settings, so we should visually compare the new images with these for some positive change.³











